Træthed og hjertebanken

Fru Nielsen på 64 år henvender sig p.g.a. tiltagende træthed og hjertebanken gennem en måned...

Case af Michael Boe Møller

Start »

Konsultation

Fru Nielsen på 64 år henvender sig p.g.a. tiltagende træthed og hjertebanken gn. 1 måned. Hvad vil du gøre?

Uddybe anamnesen Foretage objektiv undersøgelse Tage blodprøver Tage EKG

Anamnese

Patienten er tidligere rask, tager ingen medicin og drikker ikke alkohol, har ikke været udenlands i flere år, spiser varieret kost, har ikke observeret misfarvet afføring eller urin, ingen feber. Hvad er din næste handling?

Foretage objektiv undersøgelse Tage blodprøver Tage EKG

Objektiv undersøgelse

ET middel, BT 145/80, tp. 37,1°C, bleg hud og blege conjunctivae, udfyldning under venstre kurvatur, normal hjerte-lunge stetoskopi. Hvad er din næste handling?

Uddybe anamnesen Tage blodprøver Tage EKG

EKG

Hjerte

Hjertet ser sundt ud. Du må fortsætte udredningen. Hvad er din næste handling?

Uddybe anamnesen Foretage objektiv undersøgelse Tage blodprøver

Desværre...

...det var ikke korrekt. Du kan læse om tolkning af EKG i Medicinsk Kompendium.

Gå tilbage

Blodprøvesvar

  • Hb 5,4 mmol/l (7-10)
  • MCV 97 fl (80-100)
  • MCHC 19 mmol/l (19-22)
  • P-Ferritin 156 µg/l (12-300)
  • B-Retikulocytter 147 (31-97)
  • P-Transferrin 31 µmol/l (24-41)
  • B-Leukocytter 11,8 mia/l (3-10)
  • B-Trombocytter 253 mia/l (150-400)

Du har nu fundet at patienten er anæmisk. Hvilken type anæmi er mest sandsynlig?

Jernmangel Aplastisk Megaloblastær Anæmi ved kronisk sygdom Hæmolytisk

Desværre...

Det var ikke rigtigt. Du må hellere få læst om anæmiudredning i Medicinsk Kompendium.

Gå tilbage

Hæmolytisk anæmi

Hvordan vil du bekræfte din mistanke om hæmolytisk anæmi?

Supplerende blodprøver Schillings test Ultralydsskanning af abdomen Urinstix

Supplerende blodprøver

Du skal nu bekræfte din mistanke om hæmolytisk anæmi med supplerende blodprøver. Vælg de 3 vigtigste blodprøver - hverken flere eller færre!

Klar til at gå videre

Desværre...

Det var ikke rigtigt. Du må hellere få læst om anæmiudredning i Medicinsk Kompendium.

Gå tilbage

Supplerende hæmolyseprøver

  • P-Bilirubin 34 µmol/l (4-22)
  • P-LDH 353 U/l (80-255)
  • P-Haptoglobin 0,07 g/l (0,47-2,05)

Er det hæmolytisk anæmi?

Ja Nej

Desværre...

Det var ikke rigtigt. Du må hellere få læst om anæmiudredning i Medicinsk Kompendium.

Gå tilbage

Årsager

Hvad er de hyppigste typer af hæmolytisk anæmi hos danskere? Vælg de fire hyppigste.

Klar til at gå videre

Udredning af årsag

Erytrocytter

Forkert. Ved kuldeantistof induceret autoimmun hæmolytisk anæmi ses typisk agglutinering af erytrocytterne.

Du må hellere genoverveje.

Gå tilbage

Erytrocytter

Forkert. Ved mikroangiopatisk hæmolytisk anæmi (DIC, HUS, TTP o.a.) ses typisk mange schistocytter (erytrocytfragmenter).

Du må hellere genoverveje.

Gå tilbage

Erytrocytter

Forkert. Ved kuldeantistof induceret autoimmun hæmolytisk anæmi ses typisk agglutinering af erytrocytterne.

Ved mikroangiopatisk hæmolytisk anæmi (DIC, HUS, TTP o.a.) ses typisk mange schistocytter (erytrocytfragmenter).

Du må hellere genoverveje.

Gå tilbage

Erytrocytter

Korrekt. Fundet af mikrosfærocytter (pile) blandt i øvrigt normale erytrocytter ses typisk ved varmeantistof induceret autoimmun hæmolytisk anæmi og ved hereditær sfærocytose.

Gå videre

Specifikke undersøgelser

Du skal nu finde ud af om det er immunhæmolyse eller hereditær sfærocytose. Hvilken af disse undersøgelser vil give dig mest information?

Bloddyrkning Flowcytometri for CD55 og CD59 Osmotisk resistensundersøgelse Coombs' test Hæmoglobin-elektroforese

Desværre...

Varmeantistof-AIHA

Korrekt. Denne patient har positiv Coombs’ test. Patienten har varmeantistof-medieret autoimmun hæmolytisk anæmi (AIHA). Denne sygdom kan være primær eller sekundær. Du er nødt til at udelukke sekundære årsager til AIHA. Hvilke er de tre hyppigste årsager til varmeantistof-AIHA?

Klar til at gå videre

Årsager

Korrekt. Du screener for årsager til sekundær AIHA og får disse prøvesvar:

  • S-ANA: negativ
  • ANCA: negativ
  • HIV, CMV, EBV: negativ
  • Leukocyttype (differentialtælling): Lymfocytose på 5,9 mia/l (0,7-4,8)

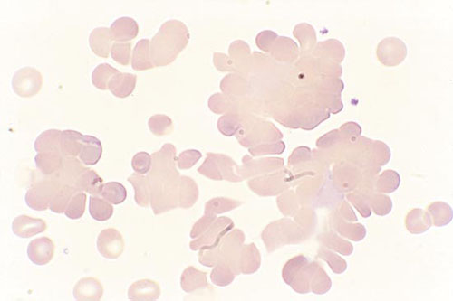
Du finder blodudstrygningen frem igen og fokuserer på leukocytterne:

Hvad er den mest sandsynlige årsag til patientens AIHA?

Primær Leukæmi/lymfom Autoimmun sygdom Infektion

Desværre...

Du kan ikke komme længere ad den vej. Du må tilbage igen.

Gå tilbage

Knoglemarv

Korrekt. Blodet indeholder mange små, ensartede lymfocytter. Der er indikation for knoglemarvsundersøgelse inklusiv flowcytometrisk immunfænotypering. Ved denne undersøgelse findes for højt antal små, modne lymfocytter i marven. Lymfocytterne er positive for CD5, CD19, CD20, CD23 og CD79, og de er negative for CD10 og cyclin D1.

Hvad fejler patienten?

Akut lymfoblastær leukæmi Kronisk lymfatisk leukæmi Mantle celle lymfom Hårcelle lymfom Sézary syndrom Marginal zone lymfom T-celle prolymfocyt leukæmi

Desværre...

...det var ikke den korrekte diagnose. Du må hellere læse op på de maligne lymfoide sygdomme i Medicinsk Kompendium eller i en patologibog.

Gå tilbage

Korrekt diagnose

Klinikspillet er slut